Služba
Vstupní vyšetření
Kompletní vstupní diagnostika včetně rentgenových snímků a léčebného plánu.
Detail péče



Vstupní vyšetření
- Při vstupním vyšetření jsou pacientovi zhotoveny rentgenové snímky.
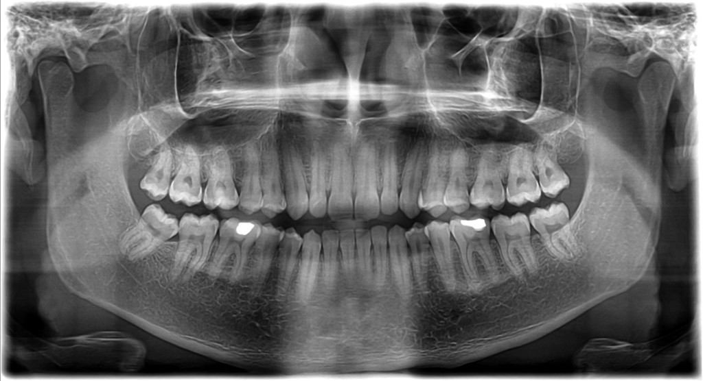
- Velký rentgenový snímek ortopantomogram zobrazí všechny zuby, obě čelisti, čelistní dutiny i čelistní klouby.
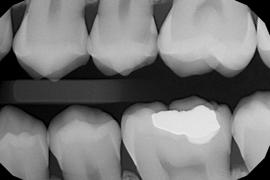
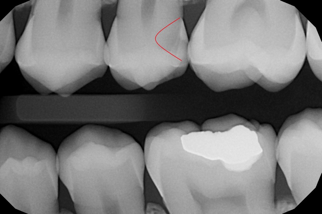
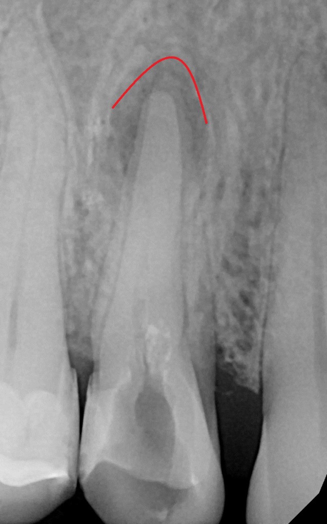
- Malé intraorální rentgenové snímky umožní detailní zobrazení zubů a včasné rozpoznání kazu.
- Důkladné vyšetření dutiny ústní zhodnotí stav a stanoví optimální léčebný plán.
Doplňující fotografie




Další služby
Pokračujte na související péči
Související péče 01
Dentální hygiena
Pravidelná prevence a profesionální hygiena pro zdravé zuby i dásně.
Související péče 02
Plomby – výplně
Bezbolestné ošetření kazu moderními fotokompozitními materiály a precizní technikou.
Související péče 03
Rentgenologické vyšetření
Digitální rentgenová diagnostika s minimální dávkou záření a maximálním komfortem.
